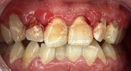
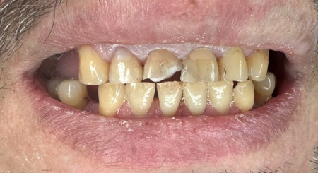
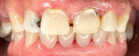
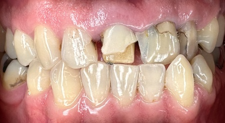
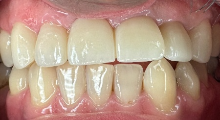
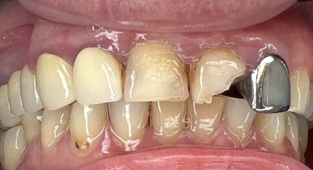
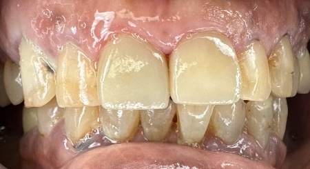
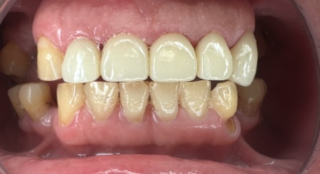
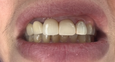
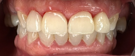
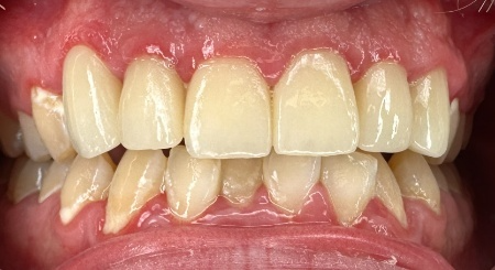
If you are wondering about participating in our dental services at Highlandtown Dental Group , take a look at the smiles that our dentist and team have worked hard to improve. Dr. Salar Barekatain and associates will always personalize your treatment and make sure you are comfortable at all times during your care. Call us at 410-327-5488 today to start your care and take advantage of our comprehensive dental services in Baltimore, Maryland.


















